醫療資訊

莫名腰痛─骨鬆壓迫性骨折

健康資訊, 健康新知 | on 2023-09-28

骨科 張偉德醫師

 

陳老太太兩星期前在睡前刷完牙挺起身時,下背突然一陣劇痛,在洗手台前撐了好久,直到家人過來協助才能離開浴室。兩天後疼痛還是沒有好轉,早上起床幾乎都需要家人幫忙。到附近醫院的急診求助,照了X光,急診醫師跟陳老太太及家人說沒有問題,可能要多休息幾天才會改善。接下來的日子,老太太坐也不是站也不是,連吃飯都成了問題。後來家人帶著老太太來到骨科門診,問清了症狀跟病史,其實大概就能猜到是脊椎的壓迫性骨折(compression fracture),門診再照一次X光,便坐實了醫師的猜想跟診斷。

 

▎典型症狀易輕忽

大多數民眾的想法裡,骨折通常是要承受很大的力道跟傷害才會發生,但壓迫性骨折卻不然,大部份病患往往沒有承受很大的力道,甚至只是承受輕微的傷害,就出現了壓迫性骨折。通常會有這樣的問題,其實還是要回到會讓骨頭強度跟品質變差的疾病—「骨質疏鬆症」。

骨質疏鬆症易導致壓迫性骨折,所以壓迫性骨折好發的族群通常是年紀較大的長者及女性。許多老人家越老越駝背,其實大部份都是因為有好多節的壓迫性骨折,讓整個脊椎變得越來越彎;典型的症狀是突然的背痛,而且敲擊骨折的位置會更痛,有些病患想得起原因,比如有發生跌倒或是一個比較大的扭傷,有些人就是回想不起來,而骨質疏鬆嚴重的病人,甚至只是打個噴嚏或是咳嗽個幾天,就導致骨折發生,但還是有些人的背部疼痛症狀是逐漸發生的。另外典型的症狀除了痛以外,就是起身跟彎腰都變得困難,這對日常生活造成很大的影響。

 

▎檢測追蹤及治療方式

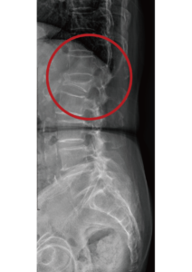
針對壓迫性骨折,X光的檢查是最基本的,尤其是一系列的X光記錄(比如每星期照一次做比對),可以發現脊椎的椎體變成楔狀(Wedge shape),也就是椎體的高度減少了,時間久一點甚至椎體裡還會出現空氣,就是告訴我們骨折沒有癒合,而且仍然處在不穩定的狀態。雖然X光可以診斷大多數的壓迫性骨折,但有些情況下,比如有很多節的壓迫性骨折,或病人疼痛已經持續一段時間,甚至是還有下肢麻痛的症狀,這些情況是需要利用核磁共振MRI來做進一步的檢查。

大部份的壓迫性骨折其實是可以採取保守治療的,比如休息、止痛藥物、或穿著背架保護。但如果疼痛持續一段時間沒有改善,嚴重影響到日常生活,並且一系列追蹤的X光片發現錐體一直有塌陷的情形,其實就可以考慮手術的介入性治療。

 
                  手術前               手術後


目前手術治療是以椎體成形術(Vertebroplasty)為主流,椎體成形術是在手術室裡利用X光機的導引,將椎體穿刺針插入椎體中,灌入骨水泥來支撐已經塌陷的椎體,有時還會利用水球或是俗稱千斤頂的椎體支架,來獲得更好的支撐效果。手術時間大概需要20分鐘,傷口小、安全、疼痛少、恢復迅速,是現在主要的治療方式。

 

認識醫師 

© 2019 永越健康管理中心 All Rights Reserved
醫療機構網際網路資訊管理辦法聲明:禁止任何網際網路服務業者轉錄本網路資訊之內容供人點閱。