影像醫學部電腦斷層科 劉峻成主任
自發性冠狀動脈剝離(SCAD,spontaneous coronary artery dissection)逐漸被認為是非創傷性、非動脈粥樣硬化導致急性冠心症(0.1–4.0%)及心因性猝死(0.4%)的病因之一。
90% SCAD患者為年輕女性和年齡47~53歲女性,男性也可能發生,且為周產期心肌梗塞發生率最高的疾病。侵入性冠狀動脈血管攝影(ICA)為診斷和治療SCAD的主要影像檢查,對於血流動力學不穩定或心肌灌注不足的患者,可能考慮此介入性治療,但考慮此治療對於SCAD患者可能有較高的併發症發生,因此大多數血流動力學穩定和非高風險的患者建議採取保守治療。對於復發或侵入性血管攝影檢查無法確診者,可考慮以冠狀動脈電腦斷層血管攝影檢查(CCTA)追蹤評估。
▎致病機轉及病生理特徵
SCAD被定義為非動脈粥狀硬化、創傷或醫源性所導致的自發性動脈壁血腫形成,可發生在三層動脈壁(內膜、中膜和外膜層)的任何一層內或之間,但最常發生在中膜層內。其致病機轉主要為兩個假說:(1)內膜撕裂假說,主要是內膜管腔交界面撕裂後血流破入形成壁內血腫和假腔,導致動脈壁分離。(2)中膜層出血假說,主要是血管滋養管壓力升高破裂形成壁內血腫。
▎病因和臨床關聯
SCAD的誘發因素多樣,主要包括:
1. 纖維肌性發育不良(fibromuscular dysplasia):為最常見動脈病變(50%~86%),女性盛行率較高(男女比為9:1),中膜層纖維發育不良為最常見的類型,多發性病灶導致交互管腔狹窄和擴張交替發生,形成血管攝影上表現特徵性 「串珠狀string-of-beads」的影像表現。
2. 妊娠相關SCAD:病例占不到5%,經產婦的發生率較高,而70%以上發生在產後。妊娠相關 SCAD患者的臨床表現更為嚴重。
3. 發炎性疾病(自體免疫疾病)
4. 遺傳因素:如遺傳性動脈病變、結締組織疾病和馬凡氏症候群
5. 誘發因素:極端的身體和情緒壓力為最常見的誘發因素
大多數患者會出現急性冠心症的症狀,如:胸部不適或疼痛(96%)、心室性心律不整(11%)和心臟驟停(1%)等。心電圖異常可能包括ST段上升心肌梗塞(STEMI)、非ST段上升心肌梗塞,以及非特異性ST-T波形變化。大多數急性冠心症患者出現高敏感性心肌旋轉蛋白升高。
▎冠狀動脈電腦斷層血管攝影檢查(CCTA)之影像特徵
CCTA 在 SCAD 的診斷中提供了重要的影像資訊,主要為四個特徵包括:
1. 突然管腔狹窄(長度0.5毫米內直徑變化>50%),約占64%。
2. 逐漸管腔狹窄(長度5.0mm長度內直徑變化>50%),36%。
3. 壁內血腫(IMH),定義為血管壁增厚。
4. 對比劑填充的假腔和真腔之間出現低密度線樣內膜剝離。
大多數冠狀動脈管腔狹窄與IMH會一起出現,特別是多條血管SCAD的患者。左前降枝冠狀動脈為最常見的動脈,其次是左迴旋枝冠狀動脈和右冠狀動脈,10%~15%病例發生多條血管病變。次要影像發現包括心外膜及血管周圍脂肪浸潤(42%),無對比劑CT顯示鄰近冠狀動脈處出現邊緣不清晰的高密度組織,冠狀動脈迂曲(29%)、心肌灌注不足(50%)、心肌橋、無冠狀動脈鈣化、血管阻塞合併遠端無血流,及冠狀動脈瘤或擴張。
▎CCTA之SCAD診斷分型(參考ICA之Saw分類)
第1型SCAD:可見分割管腔之剝離的內膜薄層(CCTA診斷具挑戰性,特別是SCAD好發的小動脈或遠端動脈)(50%)
第2型SCAD:突然變細和長管腔狹窄(需與自然變細的血管區別)(~30%)
第3型SCAD:局部短節段管腔狹窄(需與非鈣化斑塊區別)(< 5%)

SCAD之CCTA分類:左圖為第1型SCAD可見分割管腔之剝離的內膜薄層(箭頭),中圖為第2型SCAD呈現大於20毫米程度嚴重之瀰漫性平滑狹窄(箭頭),為第3型SCAD顯示局部短節段嚴重狹窄(通常小於<20mm)(箭頭)。RadioGraphics 2021; 41:1897-1915

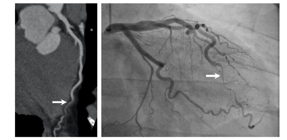
35歲女性出現劇烈胸痛,CCTA(左圖)及血管攝影檢查(右圖)顯示左前降枝冠狀動脈遠端呈現突然變細、平滑且瀰漫性之嚴重狹窄(箭頭)。Radiology: Cardiothoracic Imaging 2020; 2(6):e200364
▎SCAD之鑑別診斷
1.冠狀動脈痙攣
2.急性冠狀動脈栓塞或血栓
3.部分血栓性冠狀動脈瘤
4.呼吸運動或心跳變異,造成的階梯或心搏假影
5.心肌炎、Takotsobu心肌病變、冠狀動脈非阻塞性心肌梗塞可能與SCAD有相似的表現。
SCAD為急性冠心症的病因之一,特別影響年輕和中年女性。及時並準確地診斷 SCAD非常重要,其治療方式與傳統急性粥狀硬化性冠狀動脈疾病的有很大差異。雖然侵入性冠狀動脈血管攝影(ICA)仍然為一線影像檢查,但 CCTA在血流動力學穩定的SCAD患者的診斷和追蹤中發揮重要作用。儘管最近多排CT取得進展,但SCAD的診斷仍然具有挑戰性,特別是遠端冠狀動脈節段。了解CCTA 的主要發現、限制以及相輔其他影像對於,避免誤診至關重要。
<參考資料>
1. Role of Coronary CT Angiography in Spontaneous Coronary Artery Dissection. Radiology: Cardiothoracic Imaging 2020; 2(6):e200364
2. Spontaneous Coronary Artery Dissection: An UnderdiagnosedClinical Entity—A Primer for CardiacImagers. RadioGraphics 2021; 41:1897–1915