婦產科 邱筱宸醫師
卵巢癌,儘管在台灣女性癌症中發病率排名第七,但其致命性卻不容小覷。根據衛生福利部國民健康署的統計,2022年台灣共有1,859名女性罹患卵巢癌,年齡標準化發生率為每10萬人口10.6人。 令人擔憂的是,卵巢癌的發病年齡正逐漸提前,且其早期症狀常常不明顯,導致許多患者在病情已進展至晚期時才被診斷,從而錯失最佳治療時機。
▎卵巢癌的早期症狀
卵巢癌的初期症狀通常極為隱匿,許多女性在發病初期可能無任何明顯的不適,或症狀輕微至難以察覺。早期表現包括:
● 腹脹或腹部不適:通常患者會感到腹部有膨脹感,類似消化不良或腸胃不適的症狀。
● 持續性腹痛或骨盆疼痛:腹部或骨盆區域的持續性不明原因的疼痛可能是早期卵巢癌的徵兆。
● 食慾不振或消化問題:許多患者會出現食慾減退、噁心或不明原因的腹脹等症狀,這些往往被誤認為是胃腸道問題。
● 排便異常或頻尿:卵巢癌可能會引起腸胃蠕動異常,導致排便變化,或由於腫瘤壓迫膀胱引發頻尿感。
▎卵巢癌的預後
因早期症狀不明顯,卵巢癌患者通常在疾病已經進展至晚期時才就醫,且目前尚無有效的篩檢方法,當被診斷出卵巢癌時,約五成以上已是第三期以上。然而,晚期卵巢癌的五年存活率低於30%,因此,早期發現並及時治療是改善預後的關鍵。
▎高風險族群
1. 家族史:具有卵巢癌或乳腺癌家族史的女性,尤其是直系親屬(如母親、姐妹)曾罹患此類癌症,罹患卵巢癌的風險會顯著增加。
2. 遺傳基因突變:BRCA1和BRCA2基因突變是卵巢癌的已知遺傳風險因素。
3. 肥胖:研究顯示,肥胖與多種癌症的發生風險增加,其中也包括卵巢癌。
4. 子宮內膜異位症:子宮內膜異位症是指子宮內膜組織異常生長在子宮外的其他部位,目前研究顯示,患有子宮內膜異位症的女性,卵巢癌的風險會顯著增加。可能與異位內膜組織在月經週期中受激素波動影響、持續性炎症反應及細胞變異有關,從而導致卵巢癌的發展。特別是某些類型的卵巢癌,與子宮內膜異位症有較強的關聯性。
▎如何降低卵巢癌風險?
雖然卵巢癌發病與遺傳因素密切相關,但採取健康的生活方式和定期檢查可以有效降低風險:
● 維持健康的體重與飲食:保持適當體重,遵循均衡飲食,避免吸煙和過度飲酒,有助於改善整體健康並減少患卵巢癌的風險。
● 定期婦科檢查:專家建議高風險族群(如具有家族史或基因突變的女性)應定期進行以下檢查:
1. 婦科檢查:定期接受婦科檢查,包括骨盆腔檢查,讓醫師評估卵巢是否有腫塊或其他異常變化。
2. 經陰道超音波(TVUS):此檢查有助於檢測卵巢是否出現異常腫塊或變化,對高風險族群尤為重要。
3. CA-125血液檢測:CA-125是一種腫瘤標記物,其水平升高可能與卵巢癌相關。然而,該指標也可能因其他良性疾病而上升,因此需謹慎解讀。
4. 基因檢測(如BRCA基因測試):某些基因突變,如BRCA1和BRCA2,會顯著提高卵巢癌風險。若有家族史或其他高風險因素,進行基因檢測有助於預測患病風險,從而採取適當的預防措施。
此外,影像學檢查如電腦斷層掃描(CT)和核磁共振成像(MRI)常用於評估腫瘤的大小、位置及擴散情況。雖然這些檢查對診斷和定位癌症有重要價值,但並不適合用作一般篩檢工具。
婦產科邱醫師強調,卵巢癌的「難察覺、難診斷」特性使得早期發現至關重要,因此,維持健康的生活方式,提高對卵巢癌早期症狀的認識,並與醫師討論個人風險因素,制定適合的檢查計劃,仍是預防卵巢癌的關鍵步驟。
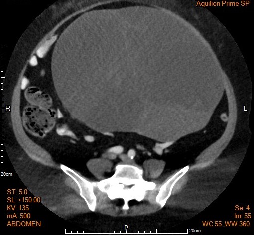
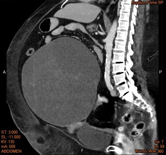
▎案例分享

58歲女性近三個月出現腹脹和體重增加,一開始患者症狀並未引起當時的高度警覺,經婦產科醫師檢查懷疑卵巢腫瘤,並進行腹部電腦斷層(CT)檢查(如圖片),結果發現約30公分的卵巢腫瘤。隨後,醫生決定安排手術治療。