
影像醫學部 李基訓 技術長 整理 / 陳名聖 主任 審核
國際放射防護委員會(ICRP;International Commission on Radiological Protection)對醫療曝露正當性的定議有二大原則:
1. 輻射在醫療上應用必須是正當的,判斷依賴專家多於政府(尊重專業)。
2.目標是對病患的利益高於危害再考慮工作人員及其他個人危害,使用特定程序判斷是醫師責任。
就目前各大醫療院所使用的新型多排式電腦斷層掃描儀而言,輻射劑量比傳統電腦斷層掃描降低許多,而本院最新引進CT640對於低劑量肺部篩檢之輻射劑量約為1mSv以下,比報導所統計之平均劑量僅約1/10,而心臟冠狀動脈檢查之平均劑量也可維持在3~8mSv,約為64排CT之平均劑量的1/3至1/5,因此輻射對人體的影響相對小很多。
就原能會所公佈的安全輻射劑量,每個人每年可以承受50個毫西佛的輻射量,也就是說,光是頭部斷層一次掃描約2mSV一年大約要作25次,低劑量肺部斷層一年大約作50次以上,還有腹部斷層一次約10mSv得要連續作上五次,才會超過安全範圍。根據統計,全球每人所接受天然輻射劑量每年約3mSv相當於3次的低劑量肺部電腦斷層,乘飛機往返台北紐約0.156mSv,而英國空勤人員在1990統計出年輻射劑量2.5 mSv。
另外,需要進行電腦斷層檢查的民眾多半有些疾病、甚至是罹癌危險群,是否因此造成罹癌率升高,值得探討。另根據研究報導,每天抽一包煙罹癌風險度相當於10 mSv/年之輻射劑量。因此,與其害怕輻射量,不敢作電腦斷層檢查,反而會因為沒有及早作出診斷,延誤了病情的治療,結果則是得不償失,美國這項研究對醫界是一項警惕,電腦斷層檢查的確會造成輻射劑量增加,因此對比較敏感的兒童和婦女使用應更謹慎,但當病患的醫療價值遠大於輻射對於人體的傷害時,對於醫療性輻射曝露應以疾病為優先考量,才不至於錯失疾病治療的黃金時間。
近年來各國政府致力於高危險群的疾病篩檢成效斐然,例如乳房攝影篩檢乳癌篩檢率可達80%,低劑量電腦斷層篩檢早期肺癌可使第一期肺癌由5年80%存活率提升為10年的88%~92%,這些都是應用輻射的極佳例証。「我用微量輻射換明天?還是因畏懼檢查而沒有明天?」,因此醫生呼籲在醫療上要善用輻射而不要畏懼輻射。
|
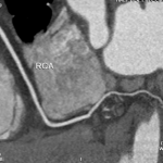
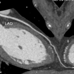
女性,43歲,心跳速率每分鐘56下,BMI: 20 顯影劑速率4.0ml/s 總量 67ml/輻射劑量1.9mSv
以上參考數據部份由原子能委員會網站摘錄 |
||||||||||||||||||||||||||