西園醫院眼科主任 陳泓橋醫師
眼睛的構造宛如頂級相機,視網膜則是相機底片,由薄而多層的神經纖維和感光細胞組成。視網膜附著於眼球內壁上,和視神經及許多微血管構成眼底。光線從透光的角膜和水晶體穿過,聚焦視網膜上,視網膜負責感光,並經由視神經傳達到大腦產生視覺,因此視網膜也算是大腦延伸的構造。由於透光的眼球構造,眼底是全身唯一能使用眼底鏡直接觀察神經和微血管的地方(圖一)。

(圖一) 眼底攝影可讓醫師觀察到視網膜、視神經、和許多微血管
▎眼底檢查揭示多種全身性疾病
眼底檢查不僅可檢測眼部疾病,由於眼底內含豐富的血管組織,還可視為全身重要器官的縮影,因此很多全身性疾病都能透過眼底檢查發現問題。
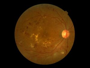
有些病患因視力模糊,到眼科檢查才發現原來患有糖尿病或高血壓。因為高血壓引起的血管變化、動脈硬化,可直接在眼底血管看到相對應的變化,而糖尿病的視網膜病變則可看到黃斑部水腫、視網膜出血等(圖二)。根據文獻統計,病患被診斷為第二型糖尿病時,有兩成已出現視網膜病變。再者,由於視神經屬於中樞神經系統的一部分,視網膜更是大腦的延伸,有些腦部疾病也會在眼底的變化顯現出來。

(圖二) 糖尿病視網膜病變
▎眼科光學同調斷層掃描(Optical Coherence Tomography; OCT)
就如電腦斷層及磁振造影的發展對臨床醫學帶來的便利與革新,OCT檢查發展出來後,能看出視網膜下的病灶,清楚的掌握視網膜各層病變。對於較細微的黃斑部病變,OCT提供肉眼看不到的橫斷切面影像,也能計算出以往以肉眼無法評估的視網膜厚度,提供眼科醫師更精準的診斷與治療。另外,青光眼患者被發現時已有視野缺損,視神經已壞,近期研究發現,眼壓高時,即使視野並無任何缺損,視網膜組織細胞就有變薄的跡象,因此OCT檢查能發揮早期診斷、早期治療的優勢,保留更多的視覺功能。
▎各年齡層都需要做眼底檢查
很多民眾都知道要做全身性的健康檢查,但大多忽略眼睛健康檢查的重要,尤其,在現今用眼過度的時代,手機及3C產品的殘害下,不只讓近視持續加深,黃斑部病變、青光眼及飛蚊症…等病變發生率也持續攀升。對於三高風險族群應定期眼底檢查,以保護眼睛,早期發現全身疾病併發症,降低風險。

(圖三)經OCT斷層掃描,發現右眼黃斑部裂孔、疑似青光眼情形