影像醫學部電腦斷層科 劉峻成主任
間質性肺病(ILD,又稱為瀰漫性肺病),「間質」是肺泡與肺泡之間,意即肺泡間的結締組織發生病變,多數的間質肺病末期時會產生「肺纖維化」。主要的特發性間質性肺病包括:尋常性間質性肺炎(UIP)、非特異性間質性肺炎(NSIP)、呼吸性細支氣管炎-間質性肺病(RB-ILD)、脫屑型間質性肺炎(DIP)、隱源性機化性肺炎(COP)及急性間質性肺炎(AIP)。罕見的特發性間質性肺病,包括淋巴細胞型間質性肺炎及肋膜肺實質彈力纖維增生症,及不可分類的特發性間質性肺病。
▎特發性肺纖維化
特發性肺纖維化(IPF),俗稱菜瓜布肺,為特定型式的慢性、漸進性、不可逆的纖維化間質性肺病,「特發性」指的是其成因不明,主要發生於年長者、疾病範圍僅限於肺臟,且具有尋常性間質性肺炎的組織病理學及/或影像學型態。
當成年患者發生無法解釋的長期運動性呼吸困難時,均須考慮特發性肺纖維化的可能;此疾病常以咳嗽、吸氣時,在肺臟兩側底部易出現細囉音及杵狀指作為表現,發生率會隨年齡增長而上升,一般多在50~70歲發病,常見於男性且有吸菸史的患者。
診斷時需排除已知成因(如:居家和職場的環境暴露、結締組織疾病及藥物毒性),若符合以下情況,則為特發性肺纖維化,包括:(1)接受外科手術肺切片,其高解析度電腦斷層(HRCT)影像為尋常性間質性肺炎(UIP)型態、(2) HRCT影像和切片結果符合特定的型態組合。
▎高解析度電腦斷層的影像型態表現
尋常性間質性肺炎(UIP),經高解析度電腦斷層(HRCT)檢查,纖維化的影像可分成以下四類型:

新檢查出間質性肺病、且在影像上呈現UIP型的患者,不建議進行支氣管肺臟切片或冷凍肺切片,及支氣管肺泡沖洗檢查,因有急性惡化的風險。
對於其他三類型的患者,是否應進行支氣管肺泡沖洗檢查和外科手術肺切片檢查,特定情境下建議施行。至於是否應進行經支氣管肺臟切片或冷凍肺切片,因缺乏證據,故無建議或反對。

典型的UIP之HRCT影像(A-C為橫切面,D為重組冠狀面),顯示雙側肺部出現網狀結構和肋膜下蜂窩狀變化(肺纖維化的表現),且呈現顱尾分布,主要分布於外圍及基底部。雙下肺葉可見牽引性支氣管擴張(紅圈處)。High-Resolution CT of the Lung (2021)
▎發生率及盛行率
目前估計在全球人口中,每十萬人可能有2~29人罹患特發性肺纖維化,然而國內至今亦僅有一篇利用1997~2007年間台灣健保資料庫的流行病學研究,其中顯示台灣每十萬人的發生率為0.6~1.4人,此數字遠低於歐美國家以及鄰近的日本。然而,國外文獻多顯示患者的平均存活期約為診斷後2~3年,主要死因是疾病的急性惡化,其次為其他疾病(如癌症等);而台灣健保資料庫的回朔研究中卻顯示,國內患者的存活期中位數僅0.9年,遠低於其他國家。
之所以如此,原因可能是患者較無病識感,有症狀而不自知,因而延誤就醫;亦或是醫師警覺性不足,對於相關診斷不夠熟悉。由於患者較晚被診斷出來,確診時多已是疾病晚期,因此死亡率較高。
▎急性惡化的風險
特發性肺纖維化屬於致命性、不可逆之肺病,其自然病程有變異性且難以預測。多數患者之肺功能皆在數年內逐漸惡化,少數的病情呈穩定緩慢惡化;有些病情是急轉直下,有些即使維持緩慢進展,之後因發生急性惡化病情會急轉直下。
急性惡化定義為:急性、臨床上顯著的呼吸衰退並伴隨著新發生的廣泛肺泡異常,出現新堆疊的雙側毛玻璃狀病灶或組織實質化病變。急性惡化可在病程中的任何時間點發生,且有可能是最早出現的表現,咳嗽惡化、發燒、痰液增加,都是觀察的症狀。
雖然急性的特發性肺纖維化目前並無明確已知的危險因子,但過去也曾在胸腔手術後及支氣管肺泡沖洗檢查後發生急性惡化的案例。此外,目前也有些證據指出胃食道逆流、較差的環境(如空氣汙染)、肺功能較差者,或有其他共病(如肺高壓、冠狀動脈疾病等),都有較高急性惡化發生的風險。此類患者預後相當不好,而患者在急性惡化後進一步發生併發症的風險也非常高,導致預後差且死亡率高。
▎併發症與共病症
特發性肺纖維化的預後非常差,存活期估計為3~5年,甚至比許多癌症還差,因此能預測生存率對患者相當重要。從過去的臨床研究得知,只有60~70%的患者死於直接相關的病因,其餘可能與老年患者容易存在的其他共病有關。
特發性肺纖維化常出現的併發症和共病症,包括糖尿病、高血壓、肺動脈高壓、嚴重抑鬱症、肺癌、心臟瓣膜病、胃食道逆流、房性心律不整、冠狀動脈疾病、腦血管疾病、血栓栓塞、睡眠呼吸中止、血脂異常、腎功能衰竭及肝功能衰竭等。目前雖不清楚治療這些共病症是否會影響臨床預後,但有幾種共病被證實與之後的存活有關,包括肺癌、肺動脈高壓和心血管疾病。
▎肺癌累積發生率
肺癌的發生率在特發性肺纖維化的患者中顯著增加,美國權威胸腔醫學期刊《Chest》雜誌曾發表,特發性肺纖維化肺癌的罹病率為13%;其他研究發現,在肺纖維化後續一年、五年和十年的肺癌累積發生率,分別為3.3%、15.4%和54.7%。由此可知,肺纖維化的病人會隨著疾病時間增加而提高肺癌的發生率。根據亞洲的研究顯示,肺纖維化者罹患肺癌的比例為20%到23%,比一般人高出五倍。
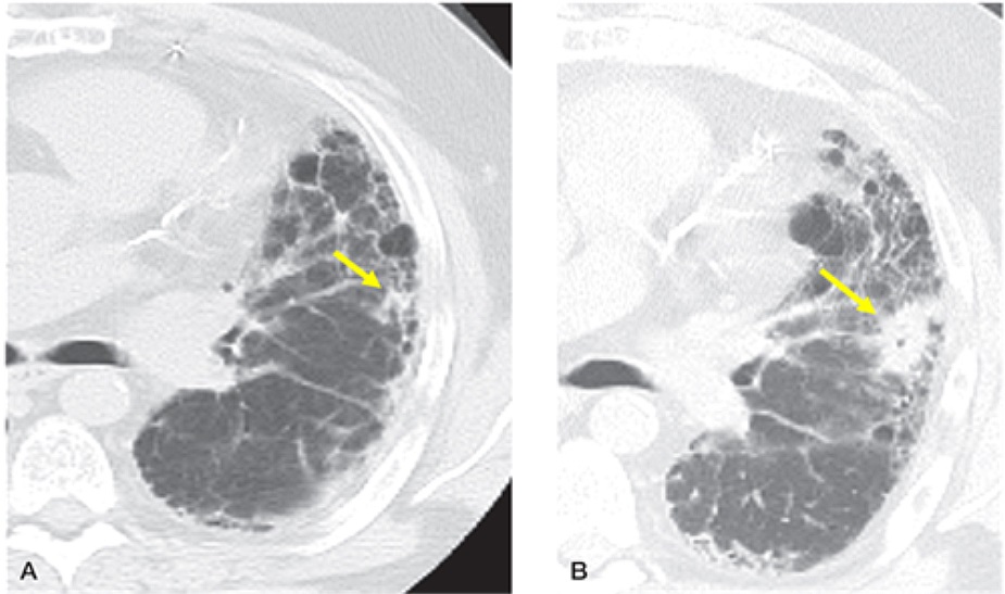
鱗狀細胞癌與腺癌為最常見的肺癌類型,較常以接近纖維化區域的「肺結節」來表現。其預後相關的研究受到追蹤時間、疾病嚴重程度、癌症治療方式不同或有干擾,但多數研究顯示,同時患有肺癌與肺纖維化患者的存活率(19~38.7個月)比沒有罹患肺癌的肺纖維化患者(48~63.9個月)明顯較差。大約10%肺纖維化患者死於肺癌。約75%肺癌發生在肺纖維化區域內或附近,主要發生於下肺葉。詳細檢查纖維化區域並與先前的影像進行比較,對於發現早期肺癌很重要。正子斷層掃描(PET-CT)通常有助於區分與纖維化相關的肺癌和局部纖維化。

特發性肺纖維化-CT發現左下肺葉有一不規則小結節(圖A),四年後明顯變大(圖B),確診為肺癌。High-Resolution CT of the Lung (2021)
▎高解析度電腦斷層(HRCT)之預後評估
透過CT影像目測的「半定量纖維化程度」與肺部的生理損傷有關,若CT異常程度高,生存率也較差。然而,視覺估計是主觀的,觀察者間也可能出現差異,影像中的縱向變化也很難目視評估。由於以上原因,在起始及追蹤時,以電腦定量影像提供更客觀和可重複的疾病評估,定量CT有可能提供客觀的纖維化程度量測和檢測細微的疾病進展。定量技術運用可能會越來越廣泛地用於臨床試驗和實踐中。
▎治療建議與未來展望
過去肺纖維化並無有效的藥物,隨著抗纖維化藥物的研發上市,相關的治療才開始漸露曙光。2015年版指引已將目前兩種核准之抗纖維化藥物nintedanib、pirfenidone列為建議使用藥物。近年已有多個臨床研究結果顯示抗纖維化藥物可改善肺纖維化患者預後,有較好的存活率。由於肺纖維化的不可逆性,應儘早發現,儘早介入治療,可幫助患者保留較好的肺功能狀態。國內已引進這兩種抗纖維化藥物,且全民健保亦有條件地給付。
目前因為新藥物的進展,使得我們愈來愈重視肺纖維化的疾病診斷與治療。相較於過去,現在的治療已經有很大的進展,但是仍有許多未知的部分,有賴更多的研究與資料來解決目前困境。
<參考資料>
1.特發性肺纖維化實證診斷及處置指引(Evidence-based Guidelines for Diagnosis and Management of Idiopathic Pulmonary Fibrosis) 2020更新版(台灣胸腔暨重症加護醫學會)。
2.High-Resolution CT of the Lung (2021), 6th edition, Sujal R. Desai et al.