西園院區眼科主治 高玲玉醫師
在台南開業的林醫師,有次從台南開車到台北探望就讀大學的女兒,在高速公路上,驚覺路標上的地名有部分看不見,檢查後發現患有正常眼壓性的青光眼,視神經已有相當程度萎縮,視野也明顯狹窄;但患者因為視野中心部分尚未受損,平日的生活、看診、開車、看電視書報一如往常,完全不知道自己的視覺已無聲無息地被偷走了。
青光眼不容易早期發現,初期因視力大多不受到影響,等到有自覺視力降低時,多半已是重度視神經萎縮。青光眼視野的變化,從邊緣開始縮小,先出現類似隧道般的侷限視野,最後可能只剩一個10元硬幣大小的範圍是清楚的,步行的時候,無法察覺身邊出現的人、車輛、障礙物、階梯落差,也無法判斷,人身安全成了重大課題。而且視神經一旦受損,已損害的視神經,無法再生,視覺功能也完全無法挽回。
▎青光眼診斷及高風險群
眼壓來自眼內前房房水的生成,房水的分泌與排出,必須維持一定的平衡,任何原因造成房水分泌過多或房水流通不順,都會造成眼壓升高。一般正常民眾眼壓在10~21毫米汞柱之間,超過21毫米汞柱即可能是青光眼;但部分視神經耐受性較差的人,即使眼壓在21毫米汞柱以下,仍可能出現青光眼的視神經變化,亦即正常眼壓性青光眼。
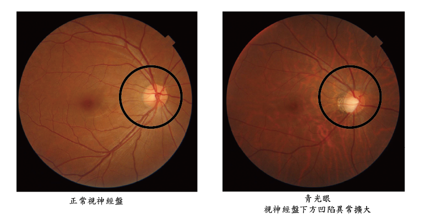
但眼壓的高低不是診斷青光眼的唯一依據,診斷青光眼需結合多項檢查,包括眼壓是否升高、視神經凹陷有無擴大、有無視野缺損、視神經纖維厚度是否異常變薄,才能正確判斷是否罹患青光眼。
健保署在2019年的統計,台灣青光眼患者已超過30萬人,其中50歲以上佔了八成,是高齡者好發的眼睛疾病之一,就如高血壓、糖尿病一樣終其一生如影隨形,無法擺脫。青光眼在特定族群的發生率偏高,如:年齡40歲以上、高度近視、長期使用類固醇、眼睛曾有外傷、虹彩炎、有偏頭痛手腳冰冷且血壓偏低、代謝症候群者,以及家族中有青光眼病史者;具有危險因子的人,建議規律的至眼科定期檢查,是保護視力的最佳方法。
▎治療方式
青光眼是無法根治、且持續緩慢惡化的慢性疾病,一旦確診青光眼,務必永不間斷的持續治療。治療主要方法包括藥物治療、雷射治療和手術。治療方針會根據病因的不同而有所調整,同時需要密切追蹤眼壓、視野和視神經檢查,以更好地掌握病情。然而,也有少數患者因不耐長期點藥,或無法忍受點藥的不適感,且經長期治療,視覺並無恢復跡象,失望之餘輕率中斷治療,導致最終完全失明。因此,建議在考慮停止治療前,應該與醫生討論選擇最適合的治療方式,以確保視力的最佳維護。
「無聲無息的視覺小偷」,是青光眼威脅視覺的最佳描述,每年定期的眼壓測定、視神經檢查、視神經斷層掃描是早期發現青光眼的最佳方法。
