
為提供更完整的健檢服務,永越即日起新增「電腦斷層下肢動脈攝影檢查」項目。
永越心肺健診中心預約諮詢專線02-2332 3289;假日02-2332 9888。
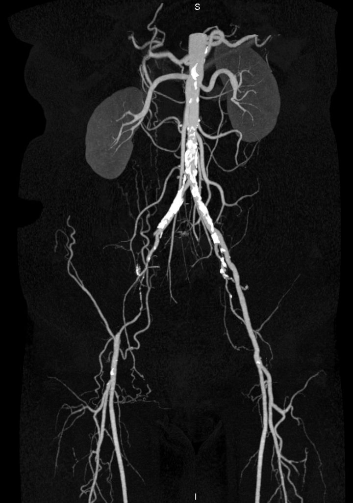
有關下肢動脈電腦斷層血管攝影術Q&A
永越心肺健診中心 陳名聖 主任
1. Q: 什麼是下肢動脈電腦斷層血管攝影術?
A: 是藉由電腦斷層掃描模擬下肢動脈血管狀態的一種非侵入性且有效的檢查方法。
2. Q: 下肢動脈電腦斷層血管攝影有何重要性?
A: 下肢動脈電腦斷層血管攝影是用來檢視下肢血管是否有阻塞或是其他病變的一種方法。統計上約有12%的成年人會有週邊血管的問題,而70歲以上的人更有高達20%的人會有此問題;有症狀的缺血性下肢動脈阻塞約佔50歲人口之2%~3%。
3. Q: 下肢動脈阻塞疾病會有什麼症狀?
A: 通常休息時無症狀,但走路後患肢會愈來愈不舒服,小腿會疼痛,最後必須休息,休息會改善症狀,但再走路時症狀又再重覆循環,形成間歇性跛行狀態。
4. Q: 下肢動脈阻塞疾病是什麼原因引起的?
A: 主要是動脈粥樣硬化引起,其危險因子包括抽煙、糖尿病、高血脂症和高血壓,其他如纖維肌肉性發育異常亦有機會造成狹窄。
5. Q: 下肢動脈阻塞疾病會造成死亡嗎?
A: 不會,統計上有下肢動脈疾病的人死亡率高於其他無下肢動脈阻塞疾病的人6倍。造成死亡的原因主要是相關血管硬化造成的心肌梗塞和腦中風所引起。但是有症狀的人如果沒有好好處理,未來5年內可能會有截肢的機會。
6. Q: 那些人適合做下肢動脈電腦斷層血管攝影術?
A: 依據美國心臟學會2005年的導引
I. 年齡小於50歲的糖尿病人且有一個額外的危險因子
﹙抽煙、高血脂症、高血壓或高類胱胺血症﹚
II. 年齡介於50~69歲之抽煙者或糖尿病患
III. 大於70歲以上者
IV. 運動時有疑似跛行症狀或休息時有缺血性疼痛
V. 異常的下肢脈搏理學檢查
VI. 已知粥狀硬化之冠狀動脈、頸動脈和腎動脈病變
7. Q: 下肢動脈電腦斷層血管攝影檢查需要注射顯影劑嗎?那些人不適合做這種檢查?
A: 是的,必須注射顯影劑才能夠將血管顯影出來。所有對含碘顯影劑有嚴重過敏病史,腎功能不全及有甲狀腺亢進等顯影劑禁忌者不適合做這項檢查。
