文/骨科關節中心 王大翊主任
45歲許女士為百貨公司櫃姐,雖然從小有拇趾外翻的問題,原本使用消炎止痛藥能緩解症狀,但因工作所需,每天仍穿高跟鞋長達8小時,導致症狀加劇,也陸續出現肩膀痠痛、腰痛等不適,故決定透過手術治療一勞永逸,術後改掉不良穿鞋習慣,以及穿鞋墊保持足部健康,終讓她擺脫拇趾外翻的困擾。
許女士近年來下班後經常感到肩膀及腰背不適,原本以為是上班時站姿不正確,或是下班後窩在沙發上追劇所致,聽聞加強腰背力量可以改善腰痠背痛,便與同事相約上健身房重訓,幾個月下來卻不見效,赴醫檢查才得知原來是拇趾外翻的痼疾,引發上述疼痛,透過手術治療、待骨頭癒合後,回到健身房繼續訓練,也讓她獲得健康與良好體態。

▲王大翊醫師替患者作理學檢查;圖為情境照,圖中人物與本文無關。(照片提供/王大翊)
▎櫃姐術後改掉不良穿鞋習慣
拇趾外翻好發於女性,尤其是長時間穿高跟鞋或尖頭鞋的族群。外觀上會使大腳趾往第二腳趾的方向偏移超過15度,導致大腳趾與第二腳趾重疊,造成大拇趾往內轉移,使得根部骨頭明顯突出。除了影響美觀外,突出的骨頭與鞋子摩擦,產生紅、腫、痛,嚴重時更可能造成滑囊發炎,當走路時因拇趾疼痛使得足踝不穩定,就會連帶使膝蓋、骨盆、肩膀、腰部等受到影響。
造成拇趾外翻的原因與遺傳、鞋子不合腳、扁平足、類風濕性關節炎、神經肌肉病變等有關,初期可使用消炎止痛藥治療,並建議改善穿鞋習慣,如女性盡量不要穿超過1吋的鞋子,楦頭寬度能讓腳趾舒服活動,並使用五趾分開襪、大拇趾分隔墊等足部輔具,降低大拇趾內側摩擦,減少足部承重不均的壓力。

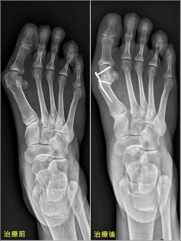
▲X光影像。(照片提供/王大翊)
▎外翻超過40度 保守治療無效
透過檢查發現,許女士拇趾外翻超過40度,且透過保守治療無法減緩症狀,故透過拇趾外翻矯正手術治療,透過修補軟組織,以及切骨矯正,放鬆拇趾外翻緊繃的韌帶,拉緊內側鬆弛的韌帶,並將往內轉移的大拇趾矯正到理想的角度,術後需練習腳趾抓握訓練、穿鞋墊,才能讓腳維持在正位上,避免病情復發。
雖然拇趾外翻並非急症,但疼痛會使腳掌不穩定,連帶影響身體其他部位,建議若脫鞋時發現大拇趾根部突出、大拇趾尖部朝第二趾歪斜,且有發紅疼痛症狀,就應赴醫檢查,待醫師詳細評估後決定治療方式,才能避免因腳趾痛影響生活品質。