心臟內科 郭文楷主任/影像醫學部 陳名聖主任
「猝死」依世界衛生組織的定義指:不管任何原因,在症狀發生後24小時內死亡,稱為猝死。不過,根據統計,在症狀發生後2小時內死亡者,近九成(88%)都肇因於心血管疾病,其餘歸於腦部及肺部疾病。在沒有其它潛在致死病因下,因心血管系統問題所導致突然及非預期性的死亡,即為「心因性猝死」。
▎心因性猝死的成因與風險
成人的心因性猝死大部份與冠狀動脈疾病有關,小孩或一些運動員的猝死常與先天性心臟病有關。發生猝死的主因常見為心血管病變,導致嚴重心律不整,由心室頻脈演變成心室顫動,接著心臟停止。一旦發生心室顫動,應在4分鐘內施予心肺復甦術急救,若8分鐘內能以電擊去顫,也能救回40%的病人。近十年來,由於心臟電氣生理學及植入性心臟去顫器(ICD)的發展,有效改進心因性猝死的預後。
一般而言,經常運動能降低許多慢性疾病(包括心血管疾病)的死亡風險,但心血管疾病患者,在運動時出現心血管問題的機會,比健康人高出10倍,尤其中壯年者,無論是後天得到、遺傳或是先天的心臟病患者,在做運動計畫時最好能先有醫學評估。
▎常見引起心因性猝死的原因

▎檢測方式與適用對象
預防心因性猝死,應對高危險群冠狀動脈疾病患者,進行詳細檢查及適當治療,如:曾心肌梗塞、有充血性心衰竭(LVEF<35%)、曾發生過猝死的倖存者,及家族史中有猝死病例者。檢查工具包括十二導程心電圖、高解析心電圖、24小時心電圖、運動心電圖、多卜勒彩色心臟超音波、電腦斷層(CT)、侵襲性心臟電氣生理學(EPS)檢查及心導管檢查等。
心肌症、心肌異常、心臟功能異常、心瓣膜疾病、先天性心臟中膈缺損及複雜性先天性心臟病等,皆須做心臟超音波檢查加以評估。特別是有部份冠心症的病人,其血管狹窄只有40~50%,臨床上並無心絞痛的發作,一旦血管壁的粥狀斑塊破裂,將導致血管管腔的阻塞,引起急性心肌梗塞,病人因而猝死,在新聞雜誌或電視媒體時有所聞。
因此,對於具有多重冠心症危險因子的病人,如高血壓、異常血脂症、糖尿病、抽菸、男性大於45歲、女性大於55歲、家族中有早熟型冠心症的直系血親等,則可考慮接受640切電腦斷層檢查,期能早期診斷冠狀動脈狹窄嚴重度及斑塊之存在,加以適當治療,以避免心因性猝死的發生。
▎影像醫學偵測 預先察覺危險因子
近年來影像醫學的發展一日千里,運用非侵入性的電腦斷層(CT)及磁振造影(MRI)來偵測心臟及腦血管疾病,預防猝死,在健康檢查上的重要性愈來愈高,像是冠狀動脈狹窄、主動脈瘤或腦動脈瘤的存在等,都可事先偵測出來,進而預防因阻塞引起心肌梗塞,或是因血管破裂而引起的休克或腦死。
預防勝於治療,猝死不僅會讓我們突然失去重要的至親朋友,也可能造成社會上的衝擊。最好的預防方法,就是定期的健康檢查和提高健康警覺性,早期偵測疾病和保障健康;認知特殊的危險因子對自己健康的可能危害,遠離可能的猝死風險。
【個案分享】
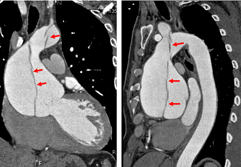
●案例一:40歲男性罹患主動脈剝離,冠狀動脈攝影電腦斷層影像顯示升主動脈擴大,直徑約82.2mm,主動脈內膜剝離(箭頭)至主動脈弓,幸好冠狀動脈未受影響。文獻統計主動脈剝離患者3%立即死亡,20%~30%在24小時內死亡。

●案例二:52歲男性企業家,經電腦斷層血管攝影檢查,顯示右冠狀動脈及左冠狀動脈迴旋枝均有小段完全阻塞外(箭頭),左前降枝也有一長段呈現阻塞(箭頭),經心導管檢查及支架置放術後,迅速康復。冠狀動脈性猝死(sudden coronary death)較為常見。多鑒於30~49歲的人,男性比女性多3.9倍。
