神經內科 謝向堯醫師
現今社會的健康殺手,最具代表性的是「三高」—高血壓、糖尿病、高血脂。具有其中一至三種疾病者,會逐年對體內的血管造成顯著的影響。最常見是心臟血管疾病,例如心臟血管缺血、心臟衰竭,患者的冠狀動脈逐漸因斑塊沉積而變得狹窄,容易造成心肌缺血甚至梗塞。類似情況當然也會出現在身體其他部位的血管,因管壁斑塊逐漸增生而日漸狹窄,其中最重要的是供應腦部的血管。
「腦中風」是造成國人失能的常見疾病。國人對於腦中風的恐懼不亞於癌症,除了致死率之外,最令人擔心的是腦中風引起的失能。因此如何早期偵測血管病變,防患未然,就成了健檢的一大課題。以下簡介最常見的腦中風情況及成因。
▎一、腦梗塞
顧名思義,是腦部血管塞住,使得相對供應區域的大腦缺血壞死。成因大致可分為兩類。
🔺血管硬化造成的梗塞(thrombus)
血管會塞住,最常見是因長期動脈壁的粥狀硬化,造成血管的日益狹窄,終至完全阻塞,血液無法順利供給腦部,而發生了腦梗塞。
🔺血栓造成的腦栓塞(emboli)
這類患者血管本身或許有些微硬化,但不致於狹窄至梗塞。反倒是來自心臟的心律不整導致血流不穩定,或是心臟瓣膜疾病等因素而存有血栓,當血塊打出跑到腦部就很容易引起腦部栓塞。極少數的情況,血栓是來自心臟以外的地方。例如下肢靜脈栓塞,或患者罹患了某些癌症而有轉移情形。
▎腦梗塞的檢查與治療
供應腦部的血管在頸部這一段,最粗的是總頸動脈與內頸動脈這兩條血管。可透過簡單、無侵入性的「頸動脈超音波檢查」來了解硬化情形,及早判斷應否治療。但是當血管進入腦內,逐漸變細,超音波被頭骨阻擋,偵測就受到了限制。此時對於高風險、希望了解顱內血管變化的人,可使用影像科技來輔助,如:電腦斷層血管攝影(CTA)、磁振造影血管攝影(MRA),都是藉由影像合成的方式,來判斷顱內中、小血管的硬化狹窄程度。
CTA檢查速度快,受檢者不必躺太久就能完成;缺點是得暴露些微輻射線。MRA則畫質更細膩,能夠見到更細微的血管及腦部結構變化,但患者得配合閉氣躺平,且完整檢查需耗費約40~50分鐘,不適合有密閉恐懼症與不耐久躺者。且受檢者頭頸部有金屬物(比如全口牙套矯正器、某些植牙材質、或腦部動過手術),或心臟有裝心律調節器者,則不適合接受MRA。
很多時候患者並無中風症狀,但上述檢查卻發現明顯的血管狹窄;此時就得與醫師討論是否須及早治療,趁早使用抗血小板藥物,甚至進一步考慮放置支架等等。倘若腦部已呈現廣泛的缺血病變,甚至有陳舊型中風存在,表示血管末梢循環已經不良,也可考慮提早用藥。
另一類情況,假使患者的腦梗塞懷疑是由心臟打出的栓塞引起,那麼完整的心臟檢查就不能省略。無論是心臟超音波檢查(2D echo)、長時間心電圖(holter)、甚至運動心電圖(treadmill test)都很重要,因為早日抓出心臟裡的栓塞,或心律不整及心肌缺血,才能對症下藥、防止次發性中風發生。

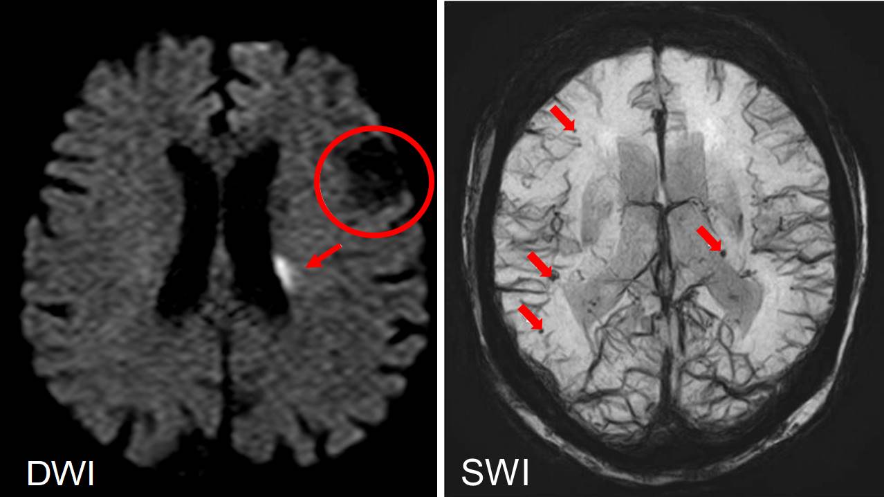
MRI腦部磁振造影檢查
左圖:分子擴散加權影像(DWI),能分辨新舊不同時期發生的中風。腦室旁亮病灶(箭頭處)為急性梗塞性中風,左額葉大面積暗病灶(圓圈處)為陳舊性中風。
右圖:磁敏感加權影像(SWI),可以偵測微出血(箭號處),若有微出血則表示再次發生中風的機會增加。
▎二、腦出血
一般台灣常見的腦出血,是因為高血壓導致血管突然破裂,血塊壓迫到腦部特定部位而出現相對應的神經缺損。患者常因瞬間血壓升高導致腦出血,若是破在重要部位(如腦幹)可能當下立即致命;或血量太大而導致腦壓升高,通常在發病一星期內死亡,不可不慎。
另有一種腦出血,相對於高血壓性出血較為少見,但一旦發生就像炸彈爆炸一樣,死亡率極高,那就是腦部動脈瘤(aneurysm)破裂造成的蜘蛛膜下腔出血(SAH)。腦部動脈瘤的成因至今眾說紛紜,不見得一定有高血壓的人才會產生,有些人甚至可能早已存在腦部多時,直到腦出血後才被發現,往往已造成彌補不了的傷害。
如果腦動脈瘤破裂,較幸運的患者通常會抱怨嚴重的頭痛、噁心嘔吐、頸部痛;嚴重者可能導致意識不清甚至猝死。在動脈瘤頭一次破裂後數天,可能會有再度破裂的風險,或造成血管痙孿,導致次發性中風甚至死亡。所以一旦發現動脈瘤就得盡快處理,屬於神經科的急症。
▎腦出血的檢查與治療
高血壓造成的腦出血,從影像中很難早期發現異狀,血管看起來通常與常人無異。預防方式只能在平日積極控制血壓,避免情緒過度變化或溫差過大,防止血壓突然飆高。如果是腦部動脈瘤,因為通常體積不大,也很難及早發現。除非是在特定位置破裂,患者出現了典型神經學症狀(例如複視、視神經麻痺)等才有機會及早診斷,否則通常只能仰賴腦部健康檢查才能提早發現。
如果擔心自己腦部有隱藏的、無症狀的動脈瘤,同樣可以依賴上面提過的電腦斷層血管攝影(CTA)與磁振造影血管攝影(MRA)來評估。尤其是MRA常常可以看到體積很小的動脈瘤。不過這類合成的影像,比起侵入性的血管攝影(angiography)終究有誤差,可能有偽陽性發現。倘若影像結果有疑義,醫師會視需要安排血管攝影進一步評估是否真有動脈瘤、周邊血液循環如何(此檢查需住院)。
如果確診為動脈瘤,現今科技可視情況經由血管攝影時做介入性栓塞術,或採外科手術來開顱夾掉動脈瘤,以避免未來的意外發生。
圖A:為例行磁振血管造影術發現左側內頸動脈有一明顯腦動脈瘤(箭號處);除此之外,在右側大腦中動脈也有可疑的囊袋狀小突起(方框所標示)。
圖B:為重組3D立體影像後(箭號處)確定是一顆小動脈瘤。