西園院區 心臟內科 黃蓮奇醫師
當左邊胸痛,大家很快就想到可能心臟出問題了;偏右或右邊胸痛則認為是肺部出問題,但這時也該考慮到另一致命的心血管疾病──「主動脈剝離」,尤其平時就有動脈硬化及高血壓的人,突然發生右胸劇烈撕裂痛,痛感傳到背部或右肩,如果往下傳向降主動脈或腹主動脈,則會有後背痛及腹痛。患者臉色蒼白,頻冒冷汗,這時就必須將這個致命性疾病考慮在內,加以診治。
▎血管脆化 主動脈剝離併發症多
主動脈是由心臟出來的大血管,負責將血液傳送到身體各處,它的管壁結構由內膜層、肌肉層及外膜層三層組成,堅韌柔軟、富彈性,但隨年老及動脈硬化,會如同用久的橡皮水管般變硬、易脆裂。硬化後的主動脈,容易因突然上升的血壓將管壁衝破一或兩層,撕裂血管壁後分出另一個血管腔,造成撕裂性的胸痛,同時也壓迫原來的管腔,使附近分支血流減少,造成局部缺血。此局部分支如果到頭部,會導致中風;到上臂則上臂及手指冰冷;到腸或腎臟則會導致腸壞死或腎衰竭;如果通到下肢,會導致下肢缺血,嚴重者須截肢。由於管壁被分裂變薄,時常壓力過大而衝破血管、瞬間大出血而致命。

國內統計,每年約有200例主動脈剝離個案,雖然相對少見,但往往致命且預後不良。前海基會董事長江丙坤、歌手潘安邦、藝人黃鴻升(小鬼)等名人,皆因主動脈剝離而驟逝。主動脈剝離發生後,死亡率每小時至少增加1%,48小時內死亡過半。
▎斷層掃描助診斷 得過再發機率高
如此重症,除了靠臨床症狀診斷外,在急診確診上,首推胸或腹部的斷層掃描,方便快速又準確,因檢查需打顯影劑,故必須注意受檢者的腎功能。但有時臨床症狀不明顯,甚至沒有痛只是悶、不舒服,這時如果心電圖顯示有心肌梗塞、心包填塞,或胸部X光有縱膈腔擴大(主動脈擴大)等,也間接顯示有主動脈剝離的可能,必須做斷層掃瞄檢查。

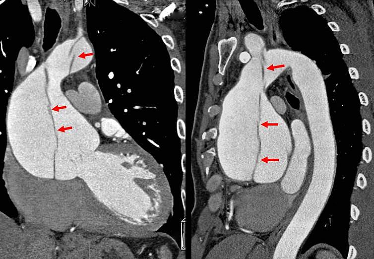
40歲男性罹患主動脈剝離,冠狀動脈攝影電腦斷層影像顯示升主動脈擴大,直徑約82.2mm,主動脈內膜剝離(箭頭)至主動脈弓,幸好冠狀動脈未受影響。文獻統計,主動脈剝離患者3%立即死亡,20%~30%在24小時內死亡。
一旦確診,必須緊急降血壓,立即轉送心臟外科治療。發生在昇主動脈(A型)大多需置換人工血管;若發生在降主動脈或腹主動脈(B型),多數可用心導管放支架,使裂開部分貼合而沾黏癒合。曾主動脈剝離者,二年內再發或產生動脈瘤的機率很大,其發生經常無症狀,約有1/3需再次手術,故初次癒後3個月、半年、一年需做斷層掃描追蹤,之後則每年一次。其工作、運動、生活型態必須改變,避免重勞動,激烈運動,近身肢體運動(如跆柔道、籃足球等),只可做文職、輕勞務、日常家務,上下樓等動作。
▎主動脈剝離的兩大危險因子
「高血壓」與「血管硬化」是導致主動脈剝離的兩大危險因素,預防就得從控制此二者下手。高血壓診斷可由量血壓得知;血管硬化有血管硬化檢測儀可測知,這種非侵入性機器可藉由同時測量四肢、頸動脈、股動脈血壓及脈波圖形,測定血管阻塞程度及血管硬化程度,一般健檢即可測得,相當方便,是健檢中應做且深具意義的項目。另外動脈硬化指數也具相當的參考價值。根據台灣血脂衛教協會的建議,想要血管健康,良好控制血壓、血脂、血糖三者缺一不可;膽固醇的控制也是飲食、運動、用藥,三者缺一不可。