影像醫學部 陳名聖主任
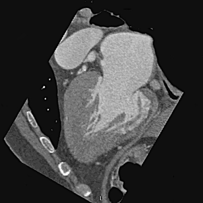
56歲男性,左半身多年前曾因中風輕癱,由於偶有心窩悶痛,各項檢查無法排除有冠心病機會,故由醫師轉來影像醫學部,進行「冠狀動脈電腦斷層血管攝影術(CCTA)」檢查。結果發現左前降枝中段一小段完全阻塞(如下圖1),心臟科醫師立即安排心導管檢查並安裝支架,解除了日後可能有心肌梗塞的危機。

圖1:CCTA發現左前降枝中段一小段完全阻塞(箭號處)
心絞痛、心肌梗塞是常見的冠狀動脈心臟病(冠心病),更是成年人猝死的主因之一。成年人引起冠心病的因子很多,最常見的有年齡、冠心病家族史、三高(高血壓,高膽固醇及高血糖)、抽菸、肥胖、少運動和壓力;2002年又再加上冠狀動脈鈣化指數,共計10項。危險因子愈多,冠心病的風險則愈高;也有人強調曾有中風和鐵腿(腳中風)的人也是屬於冠心病高風險族群。
冠心症的臨床表現型態多端,從胸前疼痛、壓迫感,喘不過氣,有時併有喉嚨緊、嘴角麻的症狀,以及盜冷汗,噁心,嘔吐,有的病人甚至不一定有胸痛的感覺。急性心絞痛若確立是冠心症者,宜直接安排做心導管檢查;但對於症狀不典型、非急性,或其他心臟檢查不協調一致者,CCTA是一項非常有用的篩檢工具。
▍非侵入性、有助於診斷及預防心血管疾病
過去冠狀動脈有否狹窄或完全阻塞,最直接、最標準的工具就是心導管,但心導管屬侵入性。近年來影像醫學的發展一日千里,運用非侵入性的電腦斷層(CT)偵測心臟血管疾病,在診斷及預防的重要性愈來愈高,像是冠狀動脈狹窄、主動脈瘤或心肌肥大(圖2)等,都可事先偵測出來,進而達到早期預防或治療的目的。2016年,英國衛生機構NICE更新健康照顧準則,即在未確診為冠心病前的任何形式胸痛,如有異常的靜態心電圖,CCTA都應為第一選擇的檢查工具。

圖2:54歲男性,2006年64切CCTA顯示,心室為黑桃A外型,心肌心室間隔最厚處25.1 mm,近心尖處心肌厚度18.4 mm~20.4 mm(超過15 mm即可考慮為心肌肥大)。此例為典型心尖型心肌肥大,東方人較多。
2019年的一篇文章指出,CCTA偵測冠狀動脈≥50%狹窄的準確度,以人為單位是≈90%,以單一血管為單位則為81%。
2018年,美國心臟學會ACC的一篇專欄寫到,以Core320(640切)CT的研究顯示,同樣以心導管狹窄≥50%為基準,比較391位受檢者的CCTA和核醫的單光子發射電腦斷層掃描心肌灌流的敏感性,結果CCTA較敏感。類似的結果在國際著名的研究上也曾指出,以CCTA為策略者,相較於以標準的心臟照護或心臟激發測試(stress testing)的功能性檢查,更能揪出心導管檢查超過50%狹窄的患者。當然CCTA也有許多限制性,許多文獻指出,受檢時未達理想的心跳與血管上厚重的鈣化斑塊,仍是評估冠狀動脈狹窄準確度的最大障礙。
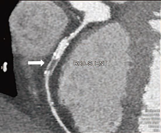
目前CCTA以評估冠狀動脈狹窄為主,但在心臟解剖的正常與否、心肌厚度及引起狹窄的斑塊性質分析也有很大的貢獻。對於曾接受冠狀動脈支架置放術,或是繞道手術的患者,也可有相當不錯的追蹤效果(圖3及圖4)。正在發展中的心肌血流灌注及血流儲備分數(FFR)也愈來愈成熟,指日可待。

圖3:63歲男性,13年前接受右冠狀動脈支架(stent)置放後即戒菸。2020年12月因運動性氣促,接受640切CCTA,發現支架內下半節完全無對比劑顯影(箭號),診斷為支架完全阻塞。

圖4:63歲男性,冠狀動脈繞道植管術後。2006年64切CCTA,右冠狀動脈植管近端殘幹仍可見,但中段以下完全阻塞。(大箭號為植管殘幹,小箭號為原生右冠狀動脈阻塞處)
🔺CCTA檢查需注意什麼?
CCTA和一般注射對比劑的電腦斷層檢查,都需先檢測腎功能、禁食3~4小時(可喝少量的水),禁忌也相同;最大的差別在於,CCTA檢查前12小時不可喝咖啡或茶等。
檢查前一小時,有機會服用乙型阻斷劑來降低心跳至理想狀態,受檢者身上會黏貼心電圖的導極,檢查的那一刻通常會加上硝化甘油舌下含片,以利擴張冠狀動脈血管,必要時還會加上氧氣,這些措施都是為了保障檢查的影像品質。
CCTA實際掃描的時間很短,僅幾秒鐘,但整體過程從準備到檢查完畢約需1小時,檢查後醫療團隊會觀察15分鐘,若無即發性過敏反應,即可回家休息。