永越健檢 │ 照顧您及珍愛的家人
尖端儀器 ‧ 精準診斷 ‧ 專業團隊
健康未來,從預防開始!透過定期健康檢查不但能夠瞭解自己的身體狀況,同時也能夠早期發現疾病,早期治療。
永越健康管理中心由已經營超過50年的西園醫院,於2004年建置營運,結合醫療專業及飯店式服務,提供頂級的健康檢查服務。延攬各醫學中心傑出的醫療人員,組織以專任醫師為核心的健檢團隊,包括心臟科、腸胃科、泌尿科、婦產科、耳鼻喉科、放射影像科、麻醉科等各專科醫師,永越醫療團隊陣容完整而堅強。
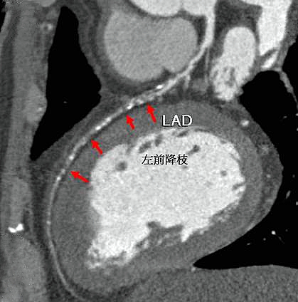
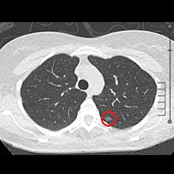
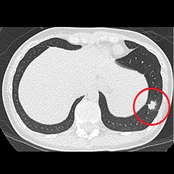
運用高科技尖端影像設備,提供貴賓精準的檢查、判讀、即時醫療、後續追蹤、健康管理或醫學中心轉介服務;從健檢診斷到後端治療,一條龍式服務。永越自成立以來,已服務超過16萬人次,每年通報件數超過千件,揪出包括:甲狀腺癌、肝腫瘤、肺癌、乳癌、子宮頸癌等重大異常的健康警訊,把握住早發現早治療的黃金關鍵。
永越卓越的健檢品質,已連續獲頒衛生署醫策會「健康檢查品質認證」、天下及遠見雜誌「金賞獎」殊榮。超前預防,守護健康!為您掌握住健康的契機,讓明天比今天更健康!








































