骨科 張偉德醫師
陳先生升任經理之後,每週大小應酬不斷,吃飯時更是魚肉、酒類來者不拒。一日醒來,右腳大拇指內側又紅又腫,痛到沒辦法走路,只好趕快請假,跛著腳來就醫,醫師診斷為痛風,使用藥物治療後才得以好轉。
痛風古稱「王者之疾」、「帝王病」,認為是上流社會、達官貴人由於飲食太好才導致的,更由於疼痛來得快得像一陣風,故命名為「痛風」。
▏為什麼會痛風?
「痛風」的原因是由於尿酸結晶堆積在關節或軟組織中,而尿酸是一種名為嘌呤(或稱為普林)的物質分解而成,當血中尿酸濃度長期高於7.6毫克/每100毫升血液(各家醫院標準不一),醫學上就稱為「高尿酸血症」。血液中尿酸會因為尿酸的產量過多或是排泄減少而上升,導致尿酸的產量過多的原因,包括:先天性代謝異常或是飲食不良等問題;而導致尿酸排泄減少的原因,則包括腎功能障礙和藥物引起的尿酸排泄不良。
▏為什麼痛風會造成關節劇痛?
然而約三分之二有高尿酸血症的患者,身上不會出現任何症狀,但是隨著血中尿酸濃度持續上升,最後會形成一種稱為「尿酸鹽」的「尿酸單鈉」(monosodium urate)針狀結晶體,而積集在關節或是軟組織中,尤其是以下肢足部關節最為常見。
當白血球跑來吞噬在關節腔內之晶體時,就會釋出發炎物質,進而引起一連串的發炎反應,造成關節劇痛及關節腫脹和變形。若尿酸鹽沉積在腎臟,則會造成腎結石、尿路結石,引發腎臟病變及腰痛。一般認為高普林及高熱量的飲食與關節痛風息息相關,包含酒精(尤其是啤酒),肉類及海鮮也是,另外劇烈運動、脫水、肥胖、乃至於情緒壓力也是會誘發痛風。
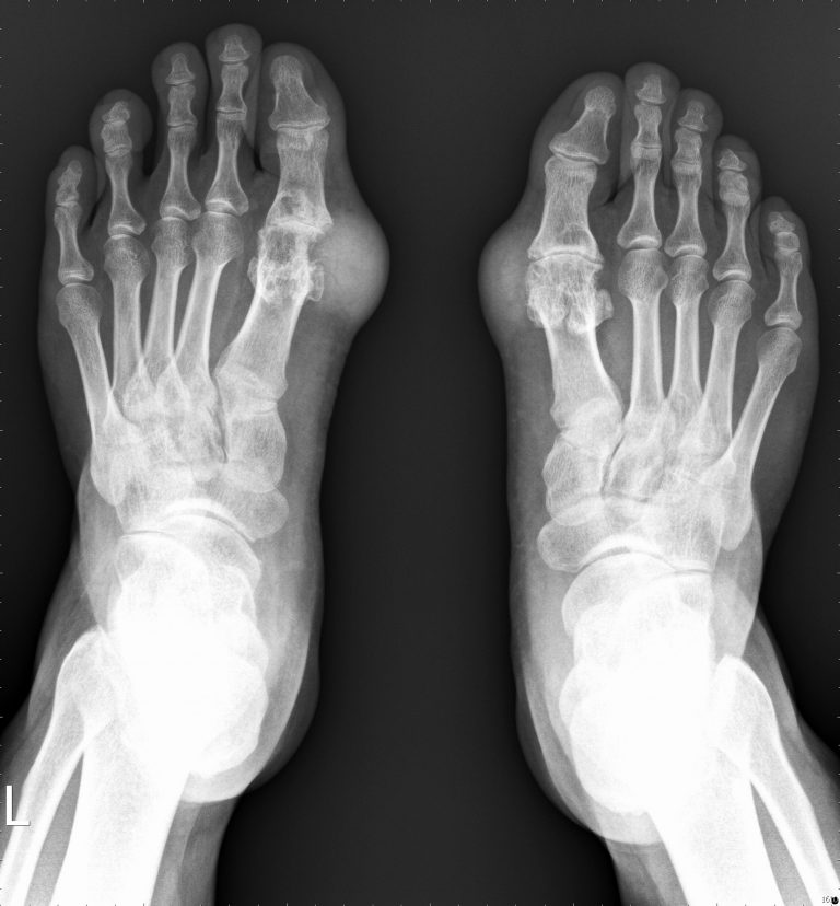
臨床上,關節痛風的症狀相當明顯,疼痛、腫脹、發紅、發熱、關節僵直,但仍須小心與化膿性關節炎或是特定部位的蜂窩性組織炎做鑑別診斷。持續的關節痛風不止會造成反覆的疼痛,尿酸鹽的結晶體也會慢慢堆積在關節或是軟組織(如圖一),形成白色的痛風石,漸而侵蝕及破壞關節組織,造成關節炎或是骨頭缺損(如圖二)。

(圖一)

(圖二)
▏痛風的治療
急性痛風發作時的治療首重症狀控制,利用秋水仙素抑制白血球聚集、降低發炎,非類固醇性抗發炎藥物來控制發炎及疼痛,再加上大量的飲水加速尿酸排泄,所幸是急性痛風來得快去得也快。慢性痛風的治療則著重在降低血中尿酸值及預防併發症,痛風與代謝性疾病如糖尿病及高血脂症有相關性,透過正確的衛教資訊搭配飲食或是藥物治療,才能遠離痛風,遠離併發症。